Canon Aquilion Precision Angebote und Bewertungen

star_outline star_outline star_outline star_outline star_outline
Bewertungen: 0
Hersteller: Canon
Kategorie: CT-Geräte
Christoph Bartram
Jetzt kostenlos anfragen!

Ich helfe Ihnen gerne.

Christoph Bartram, Geschäftsführung

Angebote vom digitalen Marktführer. Individuell für Ihre Praxis.

Schneller Service

Kostenlose Rückmeldung innerhalb von 24 Stunden

Erfolg durch Erfahrung

Aus über 15.000 Projekten im Jahr wissen wir, worauf es ankommt

Der digitale Marktführer

Unsere Kunden sprechen für uns:
4,9 von 5 Sternen auf Google

Bitte stellen Sie eine Anfrage und wir prüfen ob dieses oder ähnliche Modelle aktuell in Ihrer Region neu oder gebraucht verfügbar sind. Hier gezeigte Daten sind unverbindlich und dienen der ersten Orientierung. Ggfs. wird das hier gezeigte Modell so nicht mehr produziert, in diesem Fall würden wir, soweit möglich, Angebote für gebrauchte Geräte unterbreiten oder Ihnen neuere Modelle vorschlagen.

Canon Aquilion Precision Beschreibung

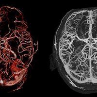
Der Aquilion Precision von Canon Medical ist ein Ultra High Resolution CT. Der neuartige Computertomograph zeichnet sich durch eine moderne Röntgenröhre mit dem weltweit kleinsten Brennfleck und einen innovativen Detektor mit den weltweit kleinsten 0,25 x 160 Elementen aus.

Die miniaturisierte Datenakquisitionselektronik, eine neue Gantry und die optimierte Patientenliege, die sich durch doppelte Präzision hervorhebt, komplettieren das System.

Neben der optimierten Hardware bringt der Aquilion Precision auch Canon Medicals Ultra-High-Resolution Rekonstruktionstechnologie mit. Hier stechen vor allem folgende Eigenschaften hervor:

  • Eine neue Rekonstruktionsmatrix in der Abmessung 1024 x 1024 oder 2048 x 2048
  • Eine Optimierung für die ultra-hochauflösende Bildgebung
  • FIRST und MBIR, kurz für Modellbasierte Iterative Rekonstruktion
  • Eine räumliche Auflösung von 150 mm und 50 lp/cm
  • AIDR3D für eine optimierte ultra-hochauflösende Akquisition

Durch die besonders hohe Auflösung, die mit dem Aquilion Precision erreicht werden kann, profitieren die künstliche Intelligenz und das Machine Learning sowie die Mustererkennung. Dadurch unterstützt der Aquilion Precision die Früherkennung, Therapieplanung und Therapiekontrolle.

Canon Aquilion Precision Erfahrungen

star_outline star_outline star_outline star_outline star_outline
0 von max 5 | 0 Rezensionen
5 Sterne 0%
4 Sterne 0%
3 Sterne 0%
2 Sterne 0%
1 Stern 0%

Noch keine Bewertungen. Schreiben Sie den ersten Testbericht!

Bewerten Sie Ihr Gerät oder Ihre Software und teilen Sie dadurch Ihre Erfahrung mit Ihren Kollegen, damit sie leichter das richtige Produkt für sich finden.

Ähnliche Produkte